Veterinerlik Hizmetlerimiz

Muayene
Hiçbir ayrıntıyı atlamadan baştan sona muayene ederek en doğru teşhisi koyuyoruz.

Aşılar
Minik dostlarımızın hayatlarına daha sağlıklı devam etmeleri için aşılayarak onları koruyoruz.

Teşhis Laboratuvarı
Hemogram, Biyokimya ve Hormon analizlerini yaparak teşhis konusunda bir adım öteye geçiyoruz.

Tedavi
Minik dostlarımızı ayrıntılı bir şekilde muayene ettikten sonra en uygun tedaviyi uyguluyoruz.

Cerrahi Operasyon
Profesyonel ekibimiz ile güvenli bir cerrahi operasyon ve ameliyat sonrası bakım sunuyoruz.

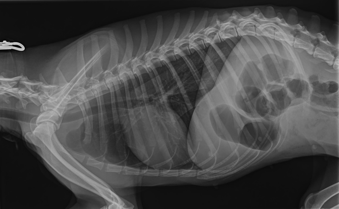
Bilgisayarlı Röntgen
Bilgisayarlı röntgen teknolojisi ile kırıklar yada yabancı cisimler hakkında daha iyi gözlemler yapıyoruz.

Yoğun Bakım
Ameliyattan sonra ya da acil vakalarda durumu kötü olan minik dostlarımızı yoğun bakımda müşahede altında tutuyoruz.

Hospitalizasyon
Tedavisi sürecinde gerekli olduğu durumunda minik dostumuzu kliniğimizde misafir ediyoruz.

Pet Kuaför
Minik dostlarımızı bazen onları ve sizi rahatsız eden tüylerinden kurtarıyor ve yıkayıp temiz bir şekilde hayatlarına devam etmelerini sağlıyoruz.

Pet Shop
Kliniğimizde küçük dostlarımızın ihtiyaç duyduğu aksesuar ve mamaların yanısıra, reçete mamaları da bulunmaktadır.

Takip
İsteğiniz doğrultusunda minik dostumuzu takip ediyor, bakım ve aşı periyotlarını hatırlatıyoruz.

Egzotik Hayvan Bakımı
Uzmanlığımız doğrultusunda nadir bulunan minik dostlarımızın bakımını ve tedavisini gerçekleştiriyoruz.
